
Newsletter Case Presentation 57
Welcome to my Newsletter 57, where I show the making and fitting of complete dentures supported by upper and lower dental implants for Alisdair. This issue provides a comprehensive overview of the entire protocol workflow.
To ensure global accessibility, I send this Newsletter twice at different times of the day, ensuring readers worldwide don't miss out on the content.
Alisdair was referred to me for specialist prosthodontics by his general dentist.
Dental concerns
"For too many years, my teeth have been a problem. Over the last 10-15 years, I've had a full set of upper and lower dentures, with two implant studs in my top and bottom gums. Recently, my dentist suggested a new top plate as my present one was aging. The new plate, however, proved unsatisfactory, affecting my speech and causing constant mouth pain. With no resolution from my dentist, I seek your expertise for a way forward."
Dental wish list
• Comfort
• Well-fitting dentures
• Improved biting and chewing
• Natural appearance
Diagnoses
1. The four implants appear clinically and radiographically healthy, though their longevity is uncertain.
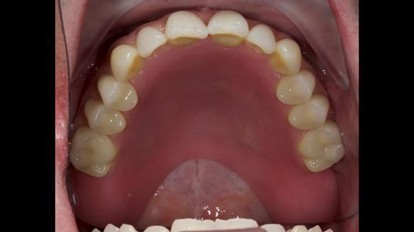
2. The upper denture, horseshoe-shaped and metal-reinforced, rocks on the ridge, causing wear on Locator abutments and a fractured upper right tooth.
3. Both upper and lower dentures can be enhanced in appearance.
4. Heavy biting forces (bruxism) have worn down the dentures, likely contributing to the unsatisfactory new upper denture.
5. Visual screening for oral cancer revealed healthy soft tissues—a routine assessment for all patients.
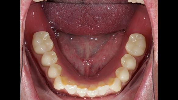
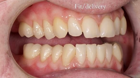
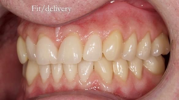
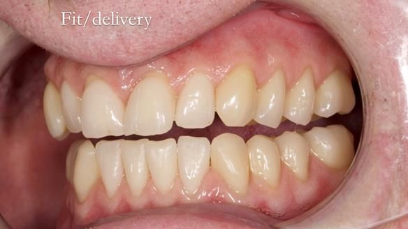
The detailed clinical situation and treatment process are outlined below, with clinical work provided by me and technical work by Rowan Garstang. New complete implant supported complete dentures were made. The new upper denture had ‘almost’ full palatal extension for the non-splinted implants following ITI guidelines. A decision was reached to retain the worn Kerator attachments, as their removal could potentially accelerate implant failure. The treatment spanned five visits for denture fitting and one review. Alisdair expressed great satisfaction with the treatment, noting a significant enhancement in his overall quality of life.
If you find these Newsletters valuable and know others who might too—friends, colleagues, dental professionals—please feel free to share. To receive future Newsletters, email me at education@finlaysutton.co.uk.
Courses given by Finlay at his practice
I conduct removable prosthodontic courses, featuring lectures and live clinical demonstrations at the practice. These courses target general dentists, prosthodontists, clinical dental technicians, and dental technicians. With a focus on clinical application, these demonstrations showcase optimal function and superb aesthetics, providing immediate professional improvement and enhanced patient outcomes.
Speaking Engagements
I speak at dental and prosthodontic conferences globally, aiming to kindle enthusiasm for removable prosthodontics. My lectures emphasize the viability of well-designed removable dentures as an alternative to implant-supported restorations. For conference inquiries, contact me at education@finlaysutton.co.uk.
While my speaking fees reflect the quality and dedication to removable prosthodontics, I offer a wealth of free resources on my website (finlaysutton.co.uk) and Facebook page. My transparent presentations, documented with patient cases, empower delegates to apply practical advice immediately.
For details on upcoming courses and lectures in 2024, please see the end of this Newsletter.
education@finlaysutton.co.uk
Subscribe to Newsletter
Information about Finlay's In-House Courses
Information about Finlay's speaking engagements























































































































































































































































