Finlay's Case Presentation
Welcome to my June 2023 Newsletter Case Presentation of Jo a 47-year-old woman.
This newsletter describes the full protocol workflow of a complete upper denture and a lower partial denture for Jo.
Jo (who lived in London 380 km distance from the practice in Garstang) referred herself to me following seeing my Facebook, YouTube teaching videos and denture education website. The previous cases histories of treated patients were of particular interest.
Dental history prior to treatment
Bad dental experiences over 20 years ago had put Jo off from visiting the dentist. She had resorted to replacing her missing upper front teeth by making a partial denture using artificial teeth and a base made from artificial acrylic nail powder/liquid kit, purchased on the internet. She had recently explored the possibility of immediate load dental implant supported teeth.
Dental Concerns
“Hate the way the look. They do not 'work'... I cannot bite anything or chew properly. I cannot smile properly. My false teeth move and constantly need adhesive many times per day. They look false and give me a lisp when talking. In short, I just hate absolutely everything about my teeth at the moment.”
Dental wish list
- “To have teeth (cf dentures) that I can eat and smile with”
- “To have the least invasive option - so am not keen on zygomatic implants”
- “To have less worry every time I open my mouth and to have no pain”
- “To reduce my anxiety over my teeth and restore some self-confidence”
Medical History
Type 2 diabetes - Metformin
Findings/diagnoses/observations and discussion points given to the patient following consultation.
- The missing upper front teeth are replaced by a denture made by the patient. This has poor fit and appearance.
- The upper ridge with missing teeth has very little underlying bone.
- The upper natural teeth have hopeless prognosis due to dental caries.
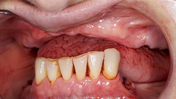
- The LR6, 5, 4 have guarded prognosis because of dental caries.
- The lower front teeth (LR3 – LL3) have better prognosis (although, I think there is high chance of loss – over the next 10 - 15 years). However, I do not believe it is right to remove them as they are in good condition compared with the other teeth and coping with a lower full denture is far more difficult (affecting your quality of life) than a lower metal based partial denture supported by natural teeth as proposed in the treatment plan below.
- The forces placed on the teeth are large (bruxism). This will make the dentures proposed in the treatment plan below wear, chip and break more quickly. Therefore, the final dentures will require metal reinforcement to make them as robust as possible.
- The mouth tissues were checked for oral cancer and there is no sign of any problems with the soft tissues. This is a routine examination, which I carry out for all my patients.
Treatment options discussed with Jo
- Do nothing - Jo did not want this
- Upper complete denture and lower partial denture along with removal of failing teeth - Jo wanted this
- Implants supporting replacement upper teeth - Jo did not want this
The clinical situation and treatment process is shown in detail below. I provided the clinical work. Rowan Garstang provided the technical work. This treatment took 25 visits over a period of 12 months.
The clinical situation and treatment process is shown in detail below with photographs. I provided the clinical work. Rowan Garstang provided the technical work.
If you enjoy my Newsletters and you have friends, colleagues, dental students, dental technicians, clinical dental technicians and postgraduate dentists that you think will appreciate them, please feel free to share them. In addition, if you or your colleagues would like to receive my Newsletters, please email me (education@finlaysutton.co.uk) and I will update the list.
Courses given by me (Finlay) at the practice
I love running removable prosthodontic courses consisting of lectures and live clinical demonstrations at the practice. I give live treatment demonstrations of impression making, registration, try in and fitting of dentures. These courses are aimed at general dentists, prosthodontists, clinical dental technicians and dental technicians. They are completely clinical, demonstrating how to provide dentures which have optimal function and superb aesthetics. I give live patient demonstrations along with lectures abundantly illustrated with step-by-step photographs and videos of all procedures. Delegates will take many “nuggets of gold”, being able to put the advice straight into practice with immediate improvement in professional satisfaction and patient outcomes.
Speaking at dental and prosthodontic conferences throughout the UK, Europe and the World.
I also love speaking at conferences with the main aim of igniting enthusiasm for removable prosthodontics. I truly believe that well designed and well-made removable dentures are a valid alternative to implant supported restorations and I like to demonstrate this clearly in my lectures. In addition, I enjoy demonstrating the positioning of denture teeth in their natural place, this being an essential skills for dentists who are replacing missing teeth using dental implants as support. Giving patients appropriate lip support and placing artificial teeth into the best aesthetic position is a skill which dentists placing dental implants must have and is a fundamental part of complete denture discipline. If you would like me to speak at a conference please contact me at education@finlaysutton.co.uk.
My speaking/honoraria fees are high, reflecting the quality of the clinical work I present and the dedication I have put into removable prosthodontics throughout my career. There is a huge amount of free to access resources available on my website (Resources and Case Studies) and on my FaceBook page. My lecturing and speaking engagements pay for this free to access material. I am completely honest and transparent, holding nothing back technically and emotionally so that delegates benefit maximally - which I find they truly love. My presentations have meticulous documentation of each patient I treat, beautifully illustrated with photos and videos. My lectures are designed so that delegates can put into practice the practical advice straight away on Monday morning. In addition, I deliver content in a stimulating and entertaining way, keeping the attention of attendees.
Please see details of courses and lectures (in UK and rest of the world) to be given by Finlay over during 2023 at the end of this Newsletter
education@finlaysutton.co.uk
Subscribe to Newsletter
Information about Finlay's In-House Courses
Information about Finlay's speaking engagements



















































































































































































































































































































































